Connect with us

News

ช็อก! หมอมนูญ เปิดเคส ติดเชื้อราเข้าปอด จากมูลนกพิราบ

Published

on

หมอมนูญ แชร์อุทาหรณ์ ทำความสะอาดมูลนกพิราบเอง สุดท้ายติดเชื้อราเข้าปอด ยังโชคดีเชื้อรายังไม่กระจายไปจุดอื่น

ผู้สื่อข่าวโตโจ้นิวส์รายงานว่า นพ.มนูญ ลีเชวงวงศ์ แพทย์เฉพาะทางด้านโรคระบบการหายใจ โรงพยาบาลวิชัยยุทธ โพสต์​ข้อความผ่านเฟซบุ๊ก หมอมนูญ ลีเชวงวงศ์ FC ระบุว่า

ผู้ป่วยหญิงไทยอายุ 84 ปี ไม่สูบบุหรี่ ไม่ไอ ไม่มีไข้ ไม่เหนื่อย ไม่เบื่ออาหาร น้ำหนักไม่ลด ไม่ปวดศีรษะ ช่วยตัวเองได้ เป็นโรคความดัน ไขมัน เบาหวาน มาตรวจร่างกายประจำปี

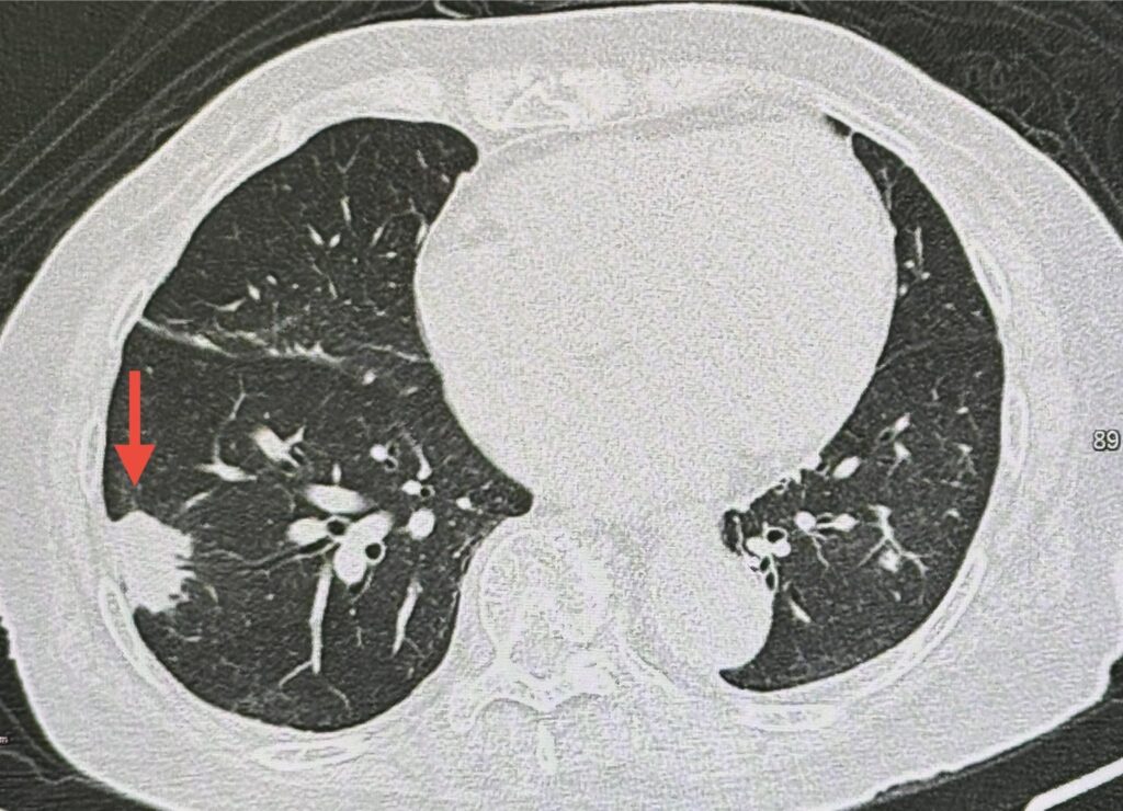
ตรวจร่างกาย ไม่มีไขั ฟังปอดปกติ เอกซเรย์ปอด มีเงาผิดปกติปอดข้างขวาด้านบนจากเคยป่วยเป็นวัณโรค และมีก้อนขนาด 1.9 x 1.9 เซนติเมตรที่ปอดข้างขวาด้านล่าง (ดูรูป) ก้อนนี้เป็นก้อนใหม่เพิ่งพบครั้งแรก ปีที่แล้วไม่มีก้อน ทำคอมพิวเตอร์ปอด พบก้อนขนาด 3.0 × 2.4 × 2.0 เซนติเมตรที่ปอดข้างขวาด้านล่าง ตรวจเลือด ค่ามะเร็งทุกตัวปกติ

เจาะก้อนด้วยเข็ม ส่งชิ้นเนื้อตรวจพยาธิวิทยา พบปอดอักเสบจากเชื้อราคริปโตค็อกคัส ตรวจเลือดหาคริปโตค็อกคัสแอนติเจนให้ผลบวก titer 1 : 20 ทำคอมพิวเตอร์สมอง และเจาะน้ำไขสันหลังปกติ ไม่พบเชื้อราคริปโตค็อกคัสกระจายเข้าเยื่อหุ้มสมอง

วินิจฉัย: ปอดอักเสบจากติดเชื้อราคริปโตค็อกคัส
ให้การรักษาด้วยยาต้านเชื้อรา fluconazole กินต่อเนื่องอย่างน้อย 6 เดือน

ซักประวัติ ที่บ้านเป็นตึก 4 ชั้น ผู้ป่วยอาศัยอยู่ในห้องชั้น 2 ที่บ้านเลี้ยงนกพิราบหลายตัวบนดาดฟ้าหลายปีแล้ว นกพิราบมาเกาะที่ระเบียงและขอบหน้าต่างห้องผู้ป่วยเป็นประจำ ผู้ป่วยชอบทำความสะอาดมูลนกพิราบติดที่ระเบียงและขอบหน้าต่าง

ผู้รายนี้หายใจสปอร์ของเชื้อราคริปโตค็อกคัส นีโอฟอร์แมนส์ (Cryptococcus Neoformans) จากมูลนกพิราบเข้าไปในปอด ทำให้เกิดปอดอักเสบลักษณะเป็นก้อน โชคดีที่เชื้อราไม่ได้กระจายออกนอกปอดเนื่องจากร่างกายยังแข็งแรง มีภูมิคุ้มกันดี
แนะนำให้ทุกคนอยู่ห่างๆ และหลีกเลี่ยงทำความสะอาดมูลนกพิราบ ถ้าจำเป็นต้องทำความสะอาด ต้องใส่หน้ากากอนามัย ถ้าเป็นไปได้ควรใส่ชนิด N 95 เพื่อป้องกันการหายใจสปอร์เชื้อราเข้าปอด

#เพื่อไม่พลาดข่าวสารดีๆ อย่าลืมกดติดตามพวกเรา TOJO NEWS

Continue Reading
Advertisement ad-02-doosoft.jpg
Advertisement QK6ZtN.png

Copyright © 2022 TOJO.NEWS

%d bloggers like this: