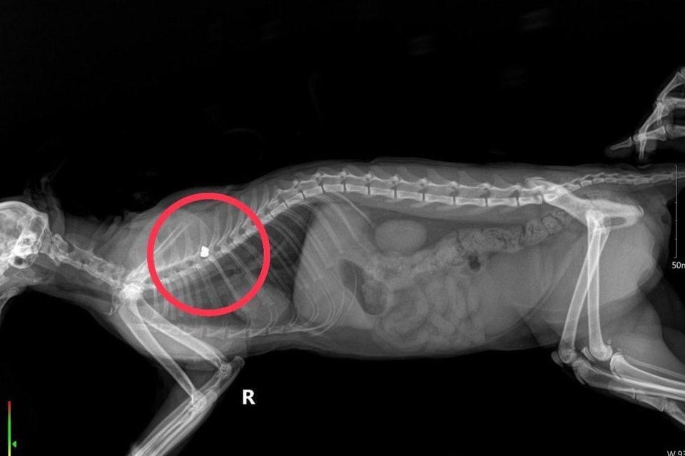
News จิตใจทำด้วยอะไร! สาวสุดช็อกแมวนอนนิ่ง เจอรอยกระสุนทั่วตัว วอนผู้รู้ช่วยอธิบาย คนร้ายใช้อาวุธอะไรทำร้ายน้อง?? Published 2 ปี ago on มีนาคม 25, 2024 By Admin_Tojo Share Tweet สาวเจอแมวที่เลี้ยงไว้นอนนิ่ง โกนขนมาเจอรอบกระสุนเพียบ ขอผู้รู้ตอบคำถาม น้องโดนอาวุธอะไร ผู้สื่อข่าวโตโจ้นิวส์รายงานว่า กรณีเพจ Drama-addict โดยนพ.วิทวัส ศิริประชัย โพสต์ข้อความผ่านเฟซบุ๊ก ระบุว่า ลูกเพจฝากมา รบกวนสอบถามสัตวแพทย์หน่อยครับจ่าคะ สวัสดีค่ะ จ่าพอทราบไหมคะ ข้อมูล anatomy ของแมวพอดีแมวที่เลี้ยงไว้บ้านสวนถูกยิงค่ะแมวถูกยิง กระสุนฝังใกล้กระดูกสันหลัง ตำแหน่งซี่โครง 4 แมวจะมีผลอะไรกับเค้าไหมคะ จะพิการไหมคะ จะได้วางแผนชีวิตตัวเองได้ค่ะ (อาการตอนพบ นอนนิ่งจนมดตอม วางให้ยืน ไม่ยืน ขาหลังไม่มีแรง แต่หมอเอาเข็มจิ้มๆยังกระตุกหนีได้ค่ะ)ตอนไปพบ นอนนิ่ง หมดคันไฟตอมตัวเต็ม แต่ตายังใสค่ะตอนนั้นยังไม่รู้ว่าโดนยิงค่ะนี้ตอนพาไปหาหมอ เพราะแมวไม่สบาย เดินไม่ได้ มีแผล นึกว่าไปโดนแมวที่ไหนกัดค่ะ พอพาไปหาหมอ โกนขน ชัดเจนค่ะ ถ้าอยากให้จ่าช่วยโพส เพื่อสอบถามผู้รู้ได้ไหมคะ เพราะพยามโพสในกลุ่มปืน กลุ่มแมว ไม่มีใครตอบได้เลยค่ะ1.กระสุนแถวกระดูกสันหลัง ซี่โครงที่ 4 น้องจะพิการไหมคะ หรือมีเอฟเฟคต์อะไรไหมคะ2.อาวุธที่ทำน้องร้ายคืออะไรคะ ขนาดกระสุนเท่าไหร่3.จากบาดแผล ยิงใกล้ หรือยิงไกลคะ โพสต์ดังกล่าวได้รับความสนใจอย่างมาก เพราะภาพที่เห็นล้วนทรมานใจจากการกระทำที่โหดร้าย นอกจากนี้ยังมีคนเข้ามาตอบคำถามของลูกเพจจ่าว่า ลูกที่ฝ่าออกมา ลูกเบอร์ 1 ของปืนอัดลมเป็นปืนที่ ชาวบ้านทั่วไป ยังมีแอบซื้อขายทั่วไป ปกติเอาไว้ยิงนกหนูที่มารบกวนผลผลิต แต่ถ้าลูกหลานเฮงซวยเอาไปยิงเล่นมันก็ยิงแมวยิงหมาไปเรื่อย ลองเดินๆสำรวจพวกก๊วนเด้กๆที่ยิงนกตกปลาย่านนั้นเดี๋ยวก็เจอตัว จากสัตวแพทย์ที่เล่นปืน1.ข้อมูลไม่มากพอจะตอบได้แม่นยำ2.ลูกปืนอัดลมเบอร์ 13.ยิงจากไม่ไกลนัก ไม่เกิน 100 เมตร 1.ตอบไม่ได้ว่าจะส่งผลกระทบอะไรกับสัตว์ไหม ขึ้นอยู่กับว่ากระสุนฝังอยู่บริเวณไหน โดนสันหลังไหม ต้องถามหมอที่ผ่ากระสุนออกครับว่ากระสุนฝังในชั้นไหน ชั้นกล้ามเนื้อ ชั้นใต้ผิวหนัง หรือโดนกระดูกสันหลังด้วยแต่เท่าที่ดูจากฟิล์มคร่าวๆ (อยากดูฟิล์มทั้งด้าน vd / lateral แต่ในโพสมีแค่ lateral) ส่วนตัวผมคิดว่าน่าจะอยู่ในชั้นกล้ามเนื้อหรือชั้นใต้ผิวหนังครับ ซึ่งถ้าเป็นแบบนั้นอาจไม่ได้ส่งผลกระทบอะไรกับระบบประสาทครับ ทั้งนี้ทั้งนั้น ต้องได้รับการตรวจระบบประสาทเพิ่มเติมก่อนและดูการตอบสนองกับยาลดอักเสบไปก่อน 3-4 วัน จะสามารถบอกได้มากขึ้นครับ2.คิดว่าเป็นกระสุนปืนลมครับ ไม่ก็ .22 แต่คิดว่าเป็นปืนลมมากกว่า3.จากแผลบอกไม่ได้ว่ายิงใกล้หรือไกลครับ เพื่อไม่พลาดข่าวสารดีๆ อย่าลืมกดติดตามพวกเรา TOJO NEWS Share this:TwitterFacebookLineLike this:Like กำลังโหลด... Related Topics:#TOJONEWS #โตโจ้นิวส์Featured Up Next สามีจะเป็นลม! ความใจบุญของภรรยา ซื้อกบขาเจ็บมา 50 บาท แต่ล่าสุดจ่ายเงินไป 20,000 บาท Don't Miss ใกล้ความจริง! เงินดิจิทัล 10,000 บาท จุลพันธ์ แถลง! ไม่เกินสิ้นปีถึงมือประชาชนทุกคน Continue Reading Advertisement Advertisement Latest Trending Videos News15 นาที ago หมออ๋อง แฉยับ! รัฐบาลจะโกง ไม่มีทำโครงการตรงๆ ปีศาจอยู่ในรายละเอียด News20 นาที ago วีระยุทธ์ โพสต์เตือน! ค่าไฟส่อแพงขึ้น 5 บาท/หน่วย News3 ชั่วโมง ago ณัฐพงศ์ จี้ กทม. ปัญหาโรงขยะอ่อนนุช ผ่านมา 4 ปี เพิ่งขยับตอนเลือกตั้ง News13 ชั่วโมง ago จับกุมหญิง ลักลอบขนเต่าดาวฯ ออกนอกประเทศ!! News1 วัน ago อันตราย! ก้างปลาติดคอแต่ไม่เอาออก อาจทะลุออกคอ จุดเส้นเลือดใหญ่ News2 วัน ago หนังสือด่วนที่สุด! สั่งที่ว่าการอำเภอทั่วประเทศ 878 แห่ง เริ่ม 1 พ.ค.69นี้! ขายของถูกให้ปชช. CLIP5 เดือน ago ฟังข่าวดีก่อนสิ้นปี 2568 (random clip) CLIP5 เดือน ago เช็คพลังงาน ดึงดูดความรัก Horoscope2 ปี ago ดวงความรักที่จะเกิดขึ้นกับคุณ กับ อ.สาธกา พรหมญาณ