Connect with us

News

ปอดเปลี่ยนไปชั่วข้ามคืน! หมอมนูญ เผยเคสคนไข้โควิด อาการหนัก

Published

on

หมอมนูญ เผย! คนสูงอายุมีโรคประจำตัว แม้ได้รับวีคซีนป้องกันโควิดหลายเข็ม ยังอาการหนักได้

ผู้สื่อข่าวโตโจ้นิวส์รายงานว่า นพ.มนูญ ลีเชวงวงศ์ แพทย์เฉพาะทางด้านโรคระบบการหายใจ ผู้ป่วยหนัก และโรคผู้สูงอายุ โรงพยาบาลวิชัยยุทธ ได้เผยเคสผู้ป่วยผ่านทางเฟซบุ๊ก ระบุว่า

คนสูงอายุที่มีโรคประจำตัวหลายโรค ถึงแม้จะได้รับวัคซีนป้องกันโควิดรุ่นแรกหลายเข็ม และติดเชื้อไวรัสโควิดสายพันธุ์โอมิครอนลูกผสม XBB ซึ่งมีความรุนแรงน้อยกว่าสายพันธุ์ก่อนหน้านี้ ก็ยังอาจป่วยหนักได้ แต่ปัจจุบันมียารักษาดีกว่าแต่ก่อน ช่วยให้คนไข้รอดชีวิตได้ ถ้าให้การรักษาเร็ว
ผู้ป่วยหญิงอายุ 83 ปีเป็นโรคหอบหืด ความดันสูง เบาหวาน อัมพาตนอนติดเตียง ฉีดวัคซีนป้องกันโควิดแอสตราเซเนกา 2 เข็ม ไฟเซอร์ 1 เข็ม และโมเดอร์นา 1 เข็ม

เริ่มไอ 2 วัน เหนื่อยเล็กน้อย ไม่มีไข้ ไม่เจ็บคอ ไม่มีน้ำมูก ตรวจ ATK บวก ติดเชื้อไวรัสโควิดครั้งแรกจากคนเฝ้าและลูกสาวที่อยู่ในบ้านเดียวกัน ผู้ป่วยรู้ตัวดี พูดได้ ไม่มีไข้ เอกซเรย์ปอดปกติ (ดูรูป) รับเข้านอนในโรงพยาบาลวันที่ 10 เมษายน 2566 เริ่มยาต้านไวรัสเรมเดซิเวียร์ฉีดเข้าเส้นเลือด


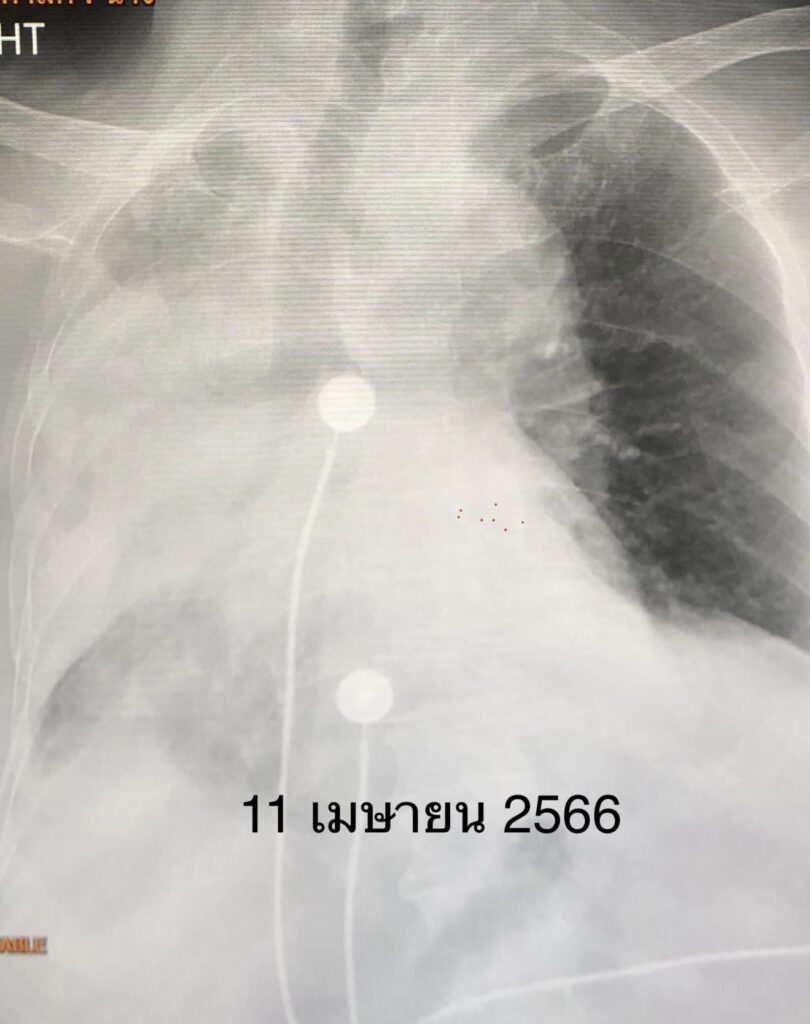
คืนที่เข้านอนในโรงพยาบาล เหนื่อยมากขึ้น เอกซเรย์ปอดพบปอดขวาทั้งข้างขาว (ดูรูป) เชื้อไวรัสโควิด-19 ทำให้เสมหะข้นเหนียวจนอุดหลอดลม ปอดขวาทั้งข้างแฟบ ต้องใส่ท่อหายใจและเครื่องช่วยหายใจ

หลังใส่ท่อหายใจดูดเสมหะ เอกซเรย์ปอดดีขึ้น (ดูรูป) ให้ยาปฏิชีวนะร่วมด้วย 7 วันต่อมาคนไข้ดีขึ้น ถอดเครื่องช่วยหายใจได้

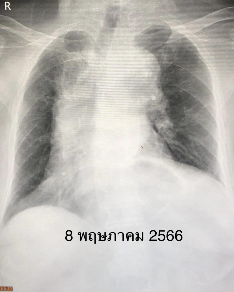
นอนรักษาในรพ.รวมทั้งหมด 29 วัน ในที่สุดกลับบ้านได้ เอกซเรย์ปอดดีขึ้น (ดูรูป) คนไข้กลับไปอยู่ในสภาพเดิมก่อนเข้าโรงพยาบาล


#เพื่อไม่พลาดข่าวสารดีๆ อย่าลืมกดติดตามพวกเรา TOJO NEWS

Continue Reading
Advertisement ad-02-doosoft.jpg
Advertisement QK6ZtN.png

Copyright © 2022 TOJO.NEWS

%d bloggers like this: